EN
AR
Doctors giving treatment to the patient with the Lumify product

Made for emergencies

Lumify is there when you need it

Emergencies won't wait. Lumify handheld ultrasound for acute care can help streamline care pathways with reliable, high-resolution imagery in real time.

Learn how Lumify can work for you

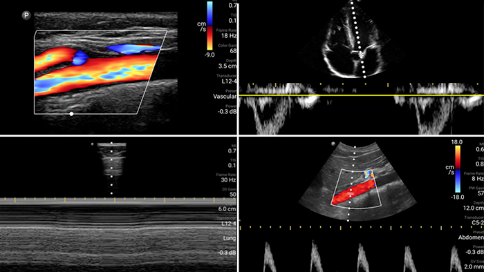
First case image

Lumify is with you

every step of the way

Evaluate, diagnose and treat your patients in

minutes with a multi-point POCUS exam.

Second case image

Breathe easier with

Lumify

Lumify can help assess patients faster and improve

accuracy when diagnosing common causes of

dyspnea and other lung conditions.

Third case image

Every second counts

in cardiac care

Heart attack patients need immediate care.

Lumify's cardiac presets can help patients get

diagnosed faster to improve their outcomes.

What industry leaders think about Lumify

See for yourself
 
Get the full picture with clear whole-body imagery for a fast, accurate response during an emergency.

Lumify transducers for emergency medicine

Broadband linear array transducer

Lumify L12-4 broadband linear array transducer

• 12 to 4 MHz extended operating frequency range
• Aperture size: 34mm
• 2D, steerable color Doppler, M-mode, advancedXRES and multivariate harmonic imaging, SonoCT
• High resolution imaging for shallow applications: soft tissue, vascular, superficial, musculoskeletal and lung
• Center line marker
• USB-C transducer with replaceable cable

Broadband phased array transducer

Lumify S4-1 broadband phased array transducer

• 4 to 1 MHz extended operating frequency range

• 2D, color Doppler, M-mode, advanced XRES and multivariate harmonic imaging

• High-resolution imaging for abdominal and cardiac applications: Cardiac, OB/GYN, Lung, Abdomen and FAST imaging preset optimizations Lumify aids life-saving technology in prehospital setting

See more when it counts

From revealing the subtle details of an image to uncovering enriched tissue definition from multiple angles, Lumify can help you make real-time decisions with more confidence from assessment through recovery.

Padstatic case example image
Padstatic case example image

See more when it counts

From revealing the subtle details of an image to uncovering enriched tissue definition from multiple angles, Lumify can help you make real-time decisions with more confidence from assessment through recovery.

Discover how Lumify works in emergency medicine

Doctor working on the tablet

Video

Lumify aids life-saving technology in prehospital setting

Phone next to the lumify product

Case study

Integrating Lumify into a resuscitation environment

Patient getting treatment

Quick guide

Focused Assessment with Sonography in Trauma (FAST) exam

We are always interested in engaging with you.

Let us know how we can help.

1
Select your area of interest
2
Contact details

You are about to visit a Philips global content page

Continue

You are about to visit a Philips global content page

Continue

Our site can best be viewed with the latest version of Microsoft Edge, Google Chrome or Firefox.